
폐렴 무료 접종 대상과 폐렴예방 자가진단법, 그리고 감기와 폐렴의 차이점을 비교하는 정보를 정리해 보았습니다.
겨울철과 환절기 건강을 위협하는 가장 위험한 질환 중 하나인 폐렴입니다.
2026년 현재 국가 예방접종 사업을 통해 만 65세 이상 어르신은 평생 1회 무료 접종이 가능한 폐렴의 초기 증상과 자가진단법, 그리고 무료 접종, 폐렴 감기 차이 등 정보 공유를 시작합니다!
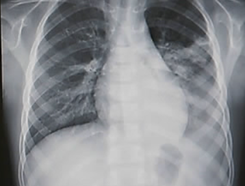
폐렴 초기 증상 / 자가진단 방법

폐렴은 초기 증상이 감기나 독감과 비슷해 방치하기 쉽지만, 노년층에게는 치명적일 수 있습니다.
폐렴 초기증상 주요 증상
38.3도 이상의 고열, 화농성(누런색) 가래를 동반한 기침, 가슴 통증, 호흡 곤란 등이 나타납니다.
노인성 폐렴의 특징
어르신들은 열이 나지 않고 기력 저하, 식욕 부진, 갑작스러운 졸음이나 혼동 상태 등 비전형적인 증상을 보일 수 있어 주의가 필요합니다.
자가진단 방법
감기약 복용 후에도 일주일 이상 기침이 멎지 않거나, 숨을 쉴 때 쌕쌕거리는 소리가 나고 가슴이 답답하다면 즉시 전문의 진료를 받아야 합니다.
만 65세 이상 폐렴주사 무료 접종 연령
정부는 고위험군인 어르신들의 건강권을 보호하기 위해 ‘어르신 폐렴구균 국가예방접종 사업’을 시행 중입니다. 바로 무료페렴접종입니다.
지원 대상
만 65세 이상 어르신 (2026년 기준 1961년 12월 31일 이전 출생자) 중 폐렴구균 23가 다당백신(PPSV23) 접종 이력이 없는 분.
무료폐렴접종 횟수는 평생 1회만 무료로 접종 가능합니다. (폐렴주사는 평생 1회면 충분합니다! ^^)
폐렴예방 접종 장소(병원, 보건소)
주소지 상관없이 가까운 지정 의료기관 병원(내과, 소아과 등) 또는 보건소에서 가능합니다.
홈페이지 예방접종도우미 누리집에서 지정 의료기관 병원 확인 가능합니다.
폐렴주사 예방접종을 가실 때 준비물은 신분증(주민등록증, 운전면허증 등)만 잘 준비해 가시면 됩니다.
폐렴 예방법, 폐렴주사 백신 종류
백신 접종과 더불어 평소 생활 습관을 관리하는 것이 폐렴 예방의 지름길입니다.
위생관리는 외출 후 비누로 30초 이상 손을 씻고, 구강 청결을 유지하며, 평소 충분한 물을 마셔서 기관지 점막이 건조해지지 않도록 관리하시길 바랍니다.
폐렴 백신 종류
국가 무료 접종 폐렴백신은 ’23가 백신’이며, 이보다 예방 면역 효과가 더 오래 지속되는 ’13가’ 또는 ’15가’ 단백접합 폐렴백신도 있습니다.
따라서 기저질환과 같은 폐렴에 더욱 취약할 수 있는 분들은 유료로 접종하는 폐렴예방주사 백신을 추천드립니다.
65세 이상 어르신 필수 체크사항인 폐렴 무료 접종 대상 및 장소를 정리해 보았습니다.
폐렴 초기 증상이 감기와 어떻게 다른지 차이점을 잘 기억해 두셨다가 폐렴의심 증상이 보이면 바로 병원에 가보시거나, 최소한 자가진단법으로 폐렴인지 확인해 보시길 바랍니다.
폐렴은 백신 접종만으로도 심각한 합병증을 상당 부분 예방할 수 있습니다.
만 65세 생일이 지나셨다면 잊지 말고 가까운 병원에서 무료 접종을 받으시길 바랍니다. 모두 건강하세요~~!

